© Todos los derechos de autor reservados - Grupo Clarós 2013
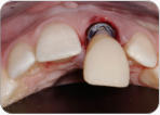
¿Es posible colocar un implante dental en el  mismo momento de la extracción dental?  Los implantes inmediatos se  colocan en el mismo acto  quirúrgico en el cual se extrae el diente fracasado al que no es  posible realizar un tratamiento conservador, siendo esta  su  principal indicación terapéutica. Respecto a los implantes diferidos su principal ventaja es la de disminuir la reabsorción ósea del alvéolo post-extracción,  acortar el tiempo de tratamiento rehabilitador y evitar una  segunda cirugía de implantación. La estabilidad  del implante  se obtiene mediante la colocación de un implante con una  morfología y diseño que favorece su fijación.   Es importante llevar a cabo una exodoncia con el menor  trauma posible que respete las paredes de hueso alveolar y  una limpieza alveolar minuciosa que elimine el tejido enfermo. En un caso de emergencia estética, en la zona anterior,  obtendremos un diente inmediato colocando el implante y  adaptandole al mismo una corona de resina temporal (diente  en una hora).
Implantes Dentales Colocación de implantes postextracción dental
Fracturas dentales Diente fracasado Emergencia estética anterior Acortar el tiempo de tratamiento
Indicaciones
Colocación Inmediata La inserción de un implante dental  inmediata a la extracción de un diente  puede hacerse sin cirugía.  
Reposición Provisional Realizando una prótesis de resina  provisional en el mismo acto de  colocación del implante, permite  devolver la estética en una hora. 
Inicio Servicios Tratamientos Tu Problema Clínicas Quienes Somos Equipo
+34 932051570 Barcelona +34 936378883 Viladecans
En 1 Hora